El alumno de la Universidad de Alicante, Ramón Mazón Cartagena ha sido premiado por su trabajo de fin de máster en la III edición de los Premios Avelino Corma, celebrados el pasado sábado en IQS Barcelona, una cita de referencia para el ámbito de la Ingen...
Noticias de Ciencia y Tecnología en Alicante Provincia
La Universidad de Alicante celebrará el próximo 24 de abril el Congreso científico sobre “La imposición de la riqueza y la lucha contra la desigualdad en el siglo XXI”, una cita académica que reunirá a destacados especialistas en Derecho...
Fomentar las vocaciones científicas y tecnológicas entre las jóvenes es el principal objetivo de Ciencia y Tecnología en Femenino, una iniciativa de la Asociación de Parques Científicos y Tecnológicos de España (APTE) en la que participa el ...
La Universidad de Alicante (UA) presenta una nueva cita con el ciclo Con*Ciencias centrada en la inteligencia artificial. La sesión tendrá lugar el próximo 24 de abril de 2026 a las 11:30 horas en el Seminario de Matemáticas de la Facultad de Ciencias II.
Los p...
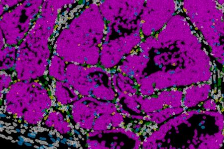
Identificar qué células de un tumor formarán metástasis es uno de los grandes retos en oncología. Un estudio del Instituto de Neurociencias (IN), centro mixto del Consejo Superior de Investigaciones Científicas (CSIC) y la Universidad Miguel Hernán...
Comprender qué células de un tumor formarán metástasis es uno de los grandes retos de la investigación oncológica. Un estudio del laboratorio de Plasticidad Celular en Desarrollo y Enfermedad, dirigido por Ángela Nieto ...
Un estudio en modelos animales liderado por el Instituto de Neurociencias (IN), centro mixto del Consejo Superior de Investigaciones Científicas (CSIC) y la Universidad Miguel Hernández de Elche (UMH), ha identificado un circuito cerebral fundamental para la memoria espacial. El tra...
La Asociación de Parques Científicos y Tecnológicos de España (APTE) celebrará el próximo 23 de abril, en el edificio Innova del campus del Parque Científico de la Universidad Miguel Hernández de Elche (PCUMH), la jornada de c...
La profesora y vicedecana de Proyección Internacional del Grado en Farmacia de la Universidad Miguel Hernández de Elche (UMH), Daniela Navarro, ha sido nombrada vicepresidenta de la Conferencia Iberoamericana de Facultades de Farmacia (COIFFA). Su designación se ha producido ...
El Grupo de Investigación en Electrocatálisis y Electroquímica de Polímeros (GEPE) de la Universidad de Alicante (UA) ha participado en el proyecto ReMETALIZA que ha logrado convertir residuos industriales considerados peligrosos en materias primas secun...
La dermicidina, un péptido antimicrobiano producido de forma constitutiva por el cuerpo humano, también presenta actividad antiviral frente al virus de la gripe. Esta es la conclusión principal de un estudio liderado por la Fundación Fisabio, con la colaboración...
Alcoy se ha situado entre las ciudades españolas con mayor peso del empleo tecnológico, consolidando su crecimiento en este sector y liderando la evolución en la Comunitat Valenciana entre municipios de más de 50.000 habitantes.
...
La Universidad de Alicante (UA) acogerá el próximo lunes 30 de marzo de 2026, a las 15:00 horas en la sala de juntas de la Facultad de Ciencias, una jornada sobre el estudio del riesgo sísmico, el pronóstico de terremotos y la importancia de la preparaci&oacu...
El campus de Elche de la Universidad Miguel Hernández (UMH) ha acogido la celebración de la Fase Local de las Olimpiadas de Física, impulsada por los profesores del Departamento de Física Aplicada UMH Eduardo Yubero y Ramón Castañer, con la colaboraci&oac...
ELLIS Alicante, en colaboración con la Universidad de Alicante (UA), celebra la IV Jornada de Divulgación para el Fomento de Vocaciones Científicas, un evento que reunirá a más de 700 participantes entre estudiantes y personal docente de centros de edu...
La Escuela Politécnica Superior (EPS) de la Universidad de Alicante ha puesto en marcha una innovadora experiencia formativa para el estudiantado de segundo curso del Grado en Ingeniería Aeroespacial, que está desarrollando sesiones de prá...
El idioma, la falta de sensibilidad hacia ritos culturales y la escasez de recursos para la diversidad funcional son algunas de las barreras con las que se encuentran determinadas personas en relación al acceso a la salud. Esta es una de las primeras conclusiones extraídas del proye...
El Parque Científico de Alicante (PCA) refuerza su proyección internacional en innovación energética gracias al liderazgo de la empresa vinculada Solar Earth en un consorcio internacional entre España y Corea del Sur para el desarrollo de soluciones de hidr&oacu...
La Facultad de Medicina de la Universidad Miguel Hernández (UMH), en colaboración con el Ayuntamiento de Sant Joan d’Alacant, ha organizado la IX edición de la Carrera Solidaria de la Facultad de Medicina, que se celebrará el próximo domingo, 15 de marzo, ...
La Universidad de Alicante acogerá el próximo 13 de marzo la segunda edición de la Conferencia Internacional “El Impacto Positivo de la Protección de la Propiedad Intelectual: el Horizonte de la Cooperación”, un encuentro que reunirá en Alican...
Investigadores del Departamento de Física y del Instituto Universitario de Materiales de la Universidad de Alicante (UA) y del Laboratorio de Bajas Temperaturas y Altos Campos Magnéticos de la Universidad Autónoma de Madrid (UAM) han logrado medir por primera vez la conductan...
La Universidad Miguel Hernández de Elche (UMH) ha obtenido 250.000 euros de financiación europea para liderar ProtectED, un proyecto internacional centrado en la prevención del abuso sexual infantil facilitado por la ...
El Parque Científico de la Universidad Miguel Hernández (PCUMH) de Elche ha celebrado una gala para entregar los premios correspondientes a la primera etapa de la 15ª edición de la Maratón de Creación de Start-Ups UMH. Durante el evento, también se h...
La Universidad de Alicante (UA) continúa avanzando en su compromiso con la igualdad de género mediante su participación en la iniciativa #DóndeEstánEllas, un proyecto impulsado por la Oficina del Parlamento Europeo en España que busca visibilizar la ...
Fortalecer la cooperación científica en torno al litio entre instituciones iberoamericanas es el objetivo de la Red Iberoamericana del Litio (IBERLITIO), de la que forma parte la Universidad Miguel Hernández de Elche (UMH) como la única universidad española inte...
Ciertos compuestos naturales de las plantas, llamados polifenoles, pueden ayudar a combatir la obesidad al transformar los adipocitos blancos —las células que almacenan energía en forma de grasa— en adipocitos pardos, que queman grasa y aumentan el gasto energétic...
El Instituto de Investigación Sanitaria y Biomédica de Alicante (ISABIAL), la Universidad de Alicante (UA) y la Universidad Miguel Hernández (UMH) de Elche han resuelto su primera convocatoria conjunta de ayudas a la investigación. Esta iniciativa tiene como objetivo c...
El Ayuntamiento de Alicante ha activado este miércoles del Gimnasio de las Ideas y el Centro de Inteligencia del Agua, con Aguas de Alicante, en la plaza de Séneca con la apertura por parte del alcalde, Luis Barcala, y del director general de Aguas de Alicante, Sergio Sá...
La provincia de Alicante ha iniciado este lunes la fase clasificatoria de la VII National Cyber League de la Guardia Civil, en la modalidad Pre-Amateur, una iniciativa orientada a fomentar el uso seguro y responsable de las nuevas tecnologías entre los estudiantes que cursan 4º de la ...
El alcalde, Toni Pérez, expuso ayer en Madrid los detalles de la plataforma de gestión de ciudad y destino: Benidorm CORE (City Operating Resource & Environment). Fue durante una mesa redonda del XVI Congreso Nacional de Innovación y Servicios...
Planificar proyectos creativos con inteligencia artificial, generar imágenes y piezas audiovisuales con nuevos lenguajes algorítmicos, analizar procesos de creación híbrida o debatir sobre los retos éticos de la IA son algunas de las actividades que se desarroll...




































